審美歯科
白く美しい歯と
しっかりと噛める機能性を
実現する審美歯科

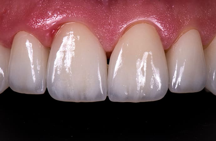
審美歯科とは、セラミックなどの素材を用いて歯や口元を美しく整えると同時に、しっかり噛める機能性も重視した総合的な歯科治療です。見た目だけでなく、噛み合わせやバランスを考慮することで、自然で健康的な口元を実現し、明るい笑顔を生み出します。
赤坂の歯医者「赤坂デンタルクリニック」では、審美性と機能性の両面から患者様一人ひとりに合わせた治療をご提案。口腔内のトータル的な美しさと快適な機能性を兼ね備えた理想的な口元を目指し、丁寧な診査・診断を行いながら治療を進めてまいります。
このようなお悩みがあれば
ご相談ください

審美歯科は、見た目の美しさだけでなく、機能性や快適さも重視した治療です。次のようなお悩みがある方は、ぜひ一度ご相談ください。
- 銀歯が目立つため、自然な白い歯にしたい
- ホワイトニングでは満足のいく白さにならなかった
- 虫歯になりにくく、長く使える被せ物を選びたい
- 金属アレルギーのため、銀歯以外の素材を希望している
- 以前のセラミック治療に納得できない仕上がりだった
- より質の高いセラミック治療を受けたい
- 矯正ではなく、短期間で歯並びを整えたい
当院の審美歯科の強み
グループ内ラボとの連携で
短納期・高品質の仕上がり

赤坂デンタルクリニックが属する「KU歯科クリニックグループ」では、歯科技工ラボを併設しています。審美歯科治療に用いるセラミックなどの技工物をグループ内で製作しているため、外部委託のような時間的ロスがありません。厳格な品質管理体制のもと、ドクターと技工士が密に連携しながらスピーディーかつ精密な仕上がりを実現。患者様一人ひとりに合わせた高品質な技工物を迅速かつ安全にご提供しております。
歯と共に歯茎も美しく。
口元のトータルな美を追求

セラミックで歯を白く整えても、歯茎の色や形が整っていなければ、口元全体の美しさは完成しません。当院では、歯の見た目だけでなく、歯を支える歯茎の健康と美しさも含めたトータルな審美歯科治療を行っております。
歯茎の黒ずみをレーザーで除去する「ガムブリーチ」や、下がった歯茎を整える「歯茎形成」、笑った際に歯茎が見えすぎる「ガミースマイル」などに対応。患者様の口元全体のバランスを考えた治療で、自然で調和のとれた美しさを追求します。
セラミック治療と併せてトータルで口腔内の美しさを整えたいとご希望でしたら、お気軽にご相談ください。
こんなお悩みを解決できます
| 虫歯をセラミック治療で 治したい 【セラミック歯 1本~】 |
前歯の形が気になる 【セラミック歯 2本】 |
費用を抑えてセラミックで 歯列を整えたい 【セラミック歯 6本】 |
||
|---|---|---|---|---|
|
他の天然歯と色味・透明感を調節したセラミックで治療することが可能です。 |
前歯の形が気になる 【セラミック歯 2本】 |
すきっぱなど気になる場合は、ラミネートべニアと呼ばれる治療法で、ご自身の歯をあまり削る事なく、見た目を整えることが可能です。 |
費用を抑えてセラミックで 歯列を整えたい 【セラミック歯 6本】 |
人の口の中で、一番見えやすい上顎6本をセラミック歯に交換する費用面でリーズナブルなご提案です。 |
| 芸能人のような キレイな歯にしたい 【セラミック歯 12本】 |
トータルコーディネートを お願いしたい 【セラミック歯 全歯】 |
歯並びの改善には マウスピースによる歯列矯正も可能 【インビザライン】 |
||
|---|---|---|---|---|
|
お口の見える部分をすべてセラミックに交換する、一番初例の多いセラミック矯正方法です。 |
トータルコーディネートを お願いしたい 【セラミック歯 全歯】 |
審美歯科のプロにお任せいただき、噛み合わせまでも考えた、フルプランです。あごのズレまでも矯正が可能です。 |
歯並びの改善には マウスピースによる歯列矯正も可能 【インビザライン】 |
目立ちにくいマウスピース矯正がおすすめです。 |
対応素材(自費診療)
ジルコニア

ジルコニアは「人工ダイヤモンド」と呼ばれるほど強度と耐久性に優れた素材です。割れや欠け、変色が起こりにくく、美しさを長期間保てます。不透過性が高いため、変色の強い歯でも色が透けにくく、自然で美しい仕上がりを実現できます。
Eマックス

Eマックスは、ジルコニアよりやや強度で劣るものの、高い透明感と自然なツヤが特長です。天然歯に近い色調を再現でき、前歯など見た目を重視する部位に適します。メタルフリーなのでアレルギーリスクがなく、歯茎との境目が黒ずむこともありません。審美性の高さと十分な耐久性を兼ね備えた素材です。
ラミネートベニアも
対応しています

歯の表面をわずかに削り、薄いセラミック製のシェルを貼り付ける治療法です。短期間で歯を白く整えられ「前歯の色や形を整えたい」「すき間をなくしたい」「ホワイトニングで満足できなかった」などの方に適しています。診療時には、適応の有無を丁寧にご説明します。
| ラミネートベニアが向いている方 | ラミネートベニアが向いていない方 | |
|---|---|---|
|
ラミネートベニアが向いていない方 |
|
当院では、治療した歯をいかに長持ちさせるかを重視しています。メリットとデメリットを丁寧に説明し、患者様一人ひとりに最適な治療法をご提案します。気になることがあればどんなことでもご質問ください。
審美歯科は自費診療となります
審美性までも考えた歯科は
自費診療となります
1.治療目的以外の処置
歯のホワイトニングなどは、疾患や痛みに対する「治療」ではありませんので、保険が適用できなく、自費での施術となります。セラミック人工歯で歯並びをよくする事もこれにあたります。治療目的外の処置については、医療費控除からも対象外となります。
2.高価な材料を使う場合
また、治療目的としたセラミック治療も、自費診療となります。一昔前までは、材質も割れやすく、機能よりも見た目優先の治療でしたが、昨今では素材と歯科の技術の進歩により、新たな素材(摩耗や割れに強く経年劣化しにくい白い見た目のジルコニア等)も出てきておりますが、高価ですので自費診療となります。治療目的の場合は医療費控除の対象となります。
赤坂デンタルクリニックでは、歯科としてできる範囲内、患者様のコンプレックスをなくし、日々ストレスを抱えることのない、心までも寄り添った歯科を患者様に提供し続けます。
※医療広告ガイドライン第4 2-④に基づき記載
料金表
※価格はすべて税込です
セラミッククラウン(被せ物)
| オールセラミッククラウン ジルコニア | 99,000円 / 131,000円 / 165,000円 / 187,000円 / 220,000円 (税込) |
|---|---|
| オールセラミッククラウン Emax 二ケイ酸リチウム | 99,000円 / 131,000円 / 165,000円 / 187,000円 / 220,000円 (税込) |
インレー(歯の一部を埋める詰め物)
| オールセラミック ジルコニア | 55,000円 / 88,000円(税込) |
|---|---|
| オールセラミック Emax 二ケイ酸リチウム | 55,000円 / 88,000円(税込) |





