矯正歯科
専門的な研鑽を積んだ
歯科医師と連携し、
美と機能性を両立する
精密な矯正歯科治療

赤坂駅からすぐの歯医者「赤坂デンタルクリニック」では、矯正歯科治療を専門とする歯科医師と連携しています。そのため、見た目の美しさだけでなく、機能性も重視した精密な矯正歯科治療をご提供することができます。
見た目だけを整える矯正歯科治療は、機能面が不十分になりやすく、将来トラブルを招く原因になってしまいます。美しい歯で快適に末永く健康的な生活を送るためには、美しさと共に機能性を考慮することが大切です。
当院では、矯正歯科治療を専門的に行う歯科医師を中心に、各分野の歯科医師がチームで連携。歯の動きや顎の成長、顔全体のバランスまで考慮し、一人ひとりに合わせた治療計画をご提案します。長期的な機能性と美しさを両立する矯正歯科治療をお求めの方は、当院にご相談ください。
※矯正歯科治療は公的医療保険適用外の自費(自由)診療です。
無料相談でお気軽に
ご相談ください

「この歯並びは矯正した方が良い?」「どのくらいの期間がかかる?」「子どもの矯正はいつ始めるべき?」など、疑問や不安がある方は、まずは無料相談へお越しください。
赤坂デンタルクリニックは赤坂駅から徒歩30秒の好立地にある歯医者です。患者様の口腔内の状態とご希望を丁寧に伺い、最適な治療法をご提案します。
PBMヒーリングで
痛みを抑えた矯正治療

PBMヒーリングは光エネルギーで細胞の働きを活性化し、矯正中の痛みや違和感を和らげる治療法です。歯の移動をスムーズに促すことで、治療期間の短縮も期待でき、身体への負担を抑えながら矯正を進めたい方に適しています。できるだけ治療期間を短縮したい方、快適に矯正歯科治療を受けたい方は、当院へご相談ください。
矯正も虫歯治療も
全て当院で完結

赤坂の歯医者「赤坂デンタルクリニック」では、矯正歯科治療だけでなく、虫歯・歯周病治療や抜歯などを含めた総合的な歯科治療に対応しています。矯正歯科治療は、歯並びを整えるだけで完了するケースはそれほど多くありません。矯正の前に「虫歯や歯周病治療」「歯を動かすスペース確保のための抜歯」を行うこともあります。
当院は、各分野に精通した歯科医師が在籍する総合歯科クリニックです。治療ごとに異なる歯医者に行く必要はなく、一貫して対応が可能。患者様一人ひとりに合わせ、口腔内のバランスを考慮し、精密で安全なトータル的な治療をご提供します。
矯正治療の種類
インビザライン*
(マウスピース矯正)

透明なマウスピース型の装置を用いて歯を少しずつ動かす治療法です。装着しても目立ちにくく、取り外しができるため、食事やブラッシングも快適に行えます。見た目に配慮しながら矯正を進めたい方に適した方法です。
*マウスピース型矯正装置 ※薬機法対象外
表側矯正

歯の表面にブラケットを装着し、ワイヤーの力で歯を移動させて整える、もっとも一般的な治療法です。透明なブラケットやワイヤーを使用するため、見た目にも配慮しながら治療を進められます。比較的リーズナブルなので、費用を抑えてしっかり矯正したい方にお勧めです。
裏側矯正

歯の裏側にブラケットを装着し、歯を動かす治療法です。表側からは装置が見えないため、治療中も目立ちにくいのが特長です。人前に出る機会が多い方や、矯正していることを知られたくない方に適しています。
小児矯正

お子様の矯正歯科治療は、乳歯から永久歯へ生え替わる時期に行うのが理想です。成長段階に合わせて顎の発達を促し、正しい歯並びや噛み合わせを導きます。乳歯や生えたばかりの永久歯は虫歯になりやすいため、治療中の予防ケアも重要です。気になる歯並びは、早めにご相談ください。
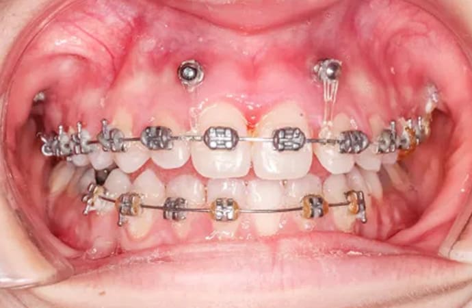
治療を効率化し期間を短縮するインプラント矯正

直径約2mmのチタン製ネジ(アンカースクリュー)を利用する矯正歯科治療です。歯茎の骨にアンカースクリューを埋め込み固定源とすることで、歯を後方や下方向など、従来では動かしにくかった方向へもコントロールできます。その結果、これまで難しいとされてきた症例にも対応でき、治療の効率化や期間短縮が期待できます。
矯正歯科治療の一般的な
治療期間と通院回数
矯正歯科治療の期間は、症例の難易度や使用する装置によって異なります。一般的な不正咬合の場合、歯を動かす「動的治療」の期間はおよそ2年が目安です。比較的軽度な症例では、半年〜1年ほどで改善するケースもあります。一方で、骨格性の出っ歯や受け口など、顎の位置や骨格に原因がある症例では、さらに長い期間を要することがあります。
動的治療後は、歯並びを安定させるための「保定期間」に移行します。
- 通院の目安:1ヶ月に1回程度
- 保定期間の目安:半年~2年程度
- 保定期間中の通院:3~6ヶ月に1回程度
治療期間や通院頻度は一人ひとり異なるため、詳細は診断時に丁寧にご説明します。
矯正歯科治療の一般的な
リスクと副作用
赤坂の歯医者「赤坂デンタルクリニック」では、可能な限りリスクを抑え、安全で精密な矯正歯科治療を行うよう努めております。しかし、全ての医療行為と同様に、矯正歯科治療にも一般的なリスクや副作用が生じる可能性があります(必ずしも全ての方に起こるわけではありません)。
- 治療期間には個人差があり、歯の動きや生活習慣などによって、当初の予定よりも期間が前後する場合があります。
- 矯正装置の装着初期には、痛みや違和感、軽い締め付け感を覚えることがあります。通常は1〜2週間ほどで慣れます。
- 矯正歯科治療の成果は、患者様の協力度にも左右されます。装置の使用状況、顎間ゴムの装着、定期的な通院などを守ることが大切です。
- 稀に矯正装置の一部を誤って飲み込んでしまうことがあります。違和感を覚えた際は速やかにご連絡ください。
- 矯正歯科治療後に歯の「後戻り」や、成長・加齢による顎の変化で噛み合わせが変わることがあります。その際は、再治療が必要となる場合もあります。
- 矯正歯科治療を始めると、治療前の歯並びに戻すことはできません。十分なカウンセリングの上で治療方針を決定します。
- 装置がついている間は磨き残しが生じやすく、虫歯や歯周病のリスクが高まります。丁寧なブラッシングと定期的なクリーニングが重要です。
- 歯の移動により、歯根が短くなったり、歯茎が下がったりすることがあります。
- ごく稀に歯が骨と癒着して動かなくなることや、歯の神経が障害を受けることがあります。その際は根管治療が必要となることもあります。
- 使用する金属などの素材に対して、アレルギー症状が出る可能性があります。
- 治療中に「顎が痛い」「カクカク音がする」「口が開けにくい」などの顎関節症状が現れる場合があります。
- 治療中に歯や骨の状態が変化した場合、当初の計画を見直し、治療方針を変更することがあります。
料金表
※価格はすべて税込です
検査・診断
| カウンセリング | 無料相談時にiTeroを使って歯型をスキャンし、 現在の歯並びと治療後の歯並びを確認できる簡易シミュレーションを行っています。 約30分 無料 |
|---|---|
| 矯正カウンセリング | 相談・レントゲン撮影を含む基本検査を行います。 約60分 公的医療保険適応(約3,500円程度) |
| 精密診断料 | 矯正治療計画をたてるための精密検査費用です。 33,000円(税込) |
矯正装置
| 成人矯正(表側) | 非抜歯 880,000円(税込) 抜歯 935,000円 【ホワイトワイヤーの場合】55,000円(税込)の追加料金 調整料 5,500円(税込) |
|---|---|
| 成人矯正(裏側) | 1,320,000円~1,430,000円(税込) 調整料 8,800円(税込) |
| 成人矯正(マウスピース) | 片顎10本 330,000円(税込) 両顎非抜 モデレート660,000円(税込) 両顎非抜 コンプリ 770,000円(税込) 調整料 1,000~2,000円(税込) |
| 成人矯正(クイックアライナー) | 1セットアップ3枚まで 165,000円(税込) 終了後半年以内(追加2枚まで) 55,000円(税込)(1セットアップ) 調整料 1,000~2,000円(税込) |
| 小児矯正 | 混合歯列 330,000円(税込) 永久歯列 成人に準ずる 調整料 5,500円(税込) |
| アンカースクリュー | 1ヶ所 33,000~55,000円(税込) |
| リテーナー | 22,000~66,000円(税込) |